Caz I
În imaginile de mai jos puteți urmări parcursul unui tratament stomatologic complex, etapele acestuia fiind cele necesare pentru obținerea rezultatului final : zâmbetul pacientului.
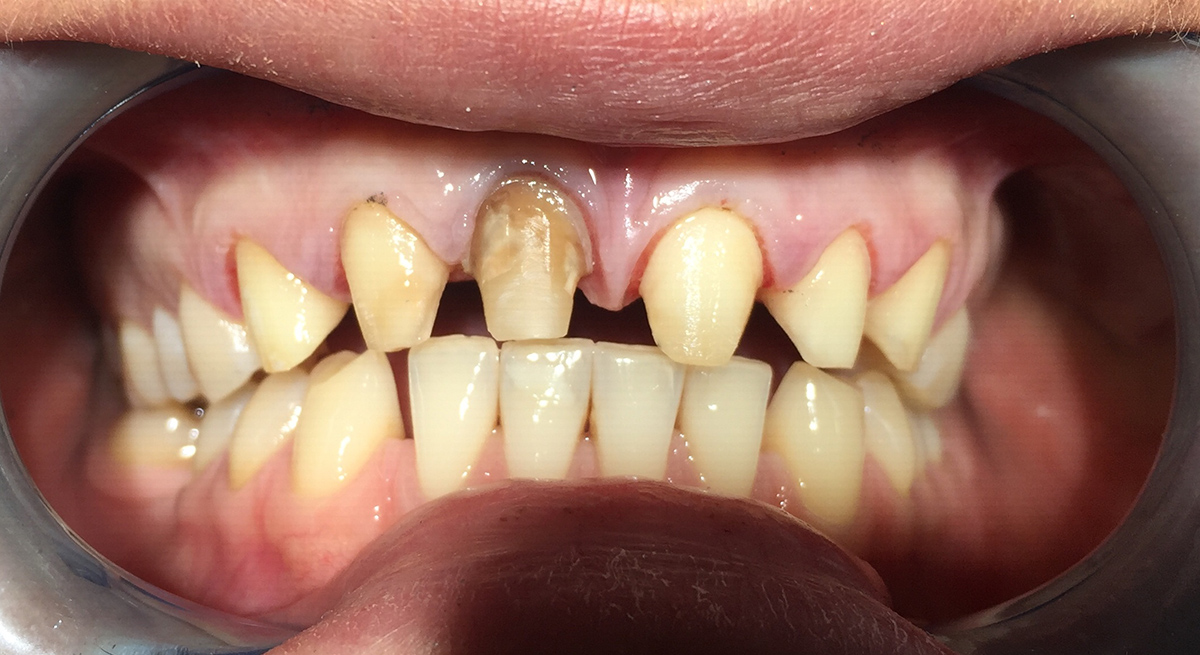
Incisivul central dreapta, având un tratament de canal nereușit, a început să coboare comparativ cu omologul său.
După îndepartarea dispozitivului corono-radicular și refacerea tratamentului endodontic s-a reconstituit bontul cu pivot de sticlă și compozit.
|
|
|

S-au realizat coroane temporare cu ajutorul wax-up-ului, realizat in laboratorul de tehnică dentară.
![]() |
![]() |
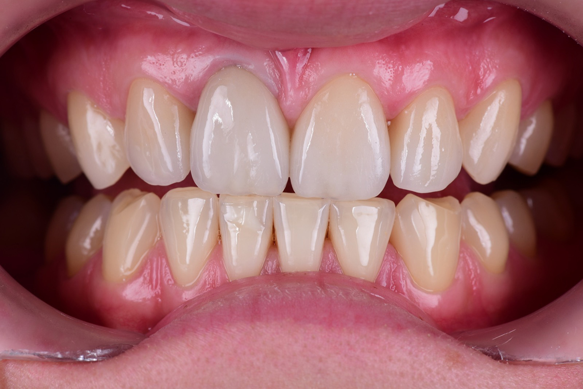
Deoarece linia gingiei era mai sus, am adus-o la acelasi nivel cu ajutorul unui aparat ortodontic.
Trema dintre incisivul lateral și caninii inferiori a fost închisă cu obturații de compozit.

Coroanele finale sunt integral ceramice.
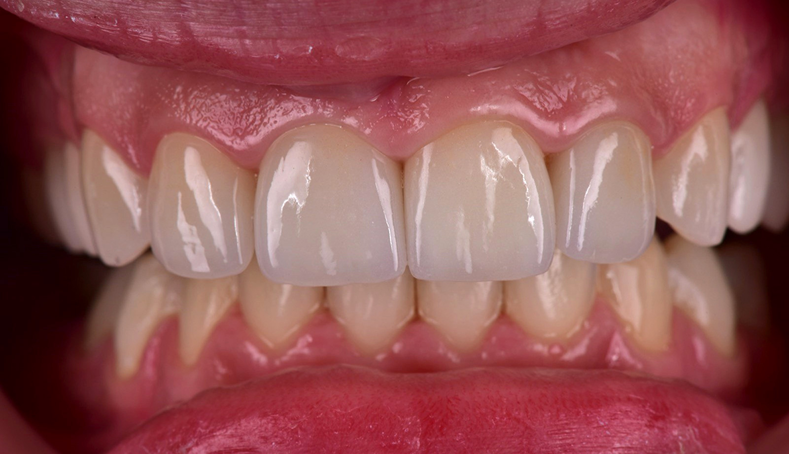
Caz II
stânga - pete de hipomineralizare corectate cu obturații de compozit
dreapta - coroane integral ceramice
- înainte - ![]() |
- după - ![]() |






